INICIO | QUIÉNES SOMOS | CONTACTO | AVISO LEGAL | INICIAR SESIÓN
Enfermedades cardiovasculares

Síndrome de Kartagener

Síndrome de KartagenerSinónimos

Dextrocardia, Bronquiectasias y Sinusitis
Discinesia Ciliar Primaria
Enfermedad Crónica Sinobronquial y Dextrocardia
Síndrome de los Cilios Inmóviles
Síndrome de Siewert
Síndrome de Zievert Kartagener
Situs Inversus, Bronquiectasis y Sinusitis
Triada de Kartagener

Causas

El síndrome de Kartagener es un trastorno genético, que se cree presenta un patrón de herencia autosómico recesivo, con incidencia de un caso cada 20.000 nacidos vivos.

Datos relevantes

Esta enfermedad forma parte de los denominados síndromes de discinesia ciliar que son un grupo de entidades en las que existe una alteración estructural o funcional de los cilios de cualquier causa. Estas alteraciones afectan a todos los epitelios ciliados del organismo: epitelio de las vías respiratorias, de los senos paranasales (cavidades situadas a los lados de la nariz), de la trompa de Eustaquio, y espermatozoides, originando un mal aclaramiento del moco y retención del mismo.

Típicamente la enfermedad se caracteriza por:

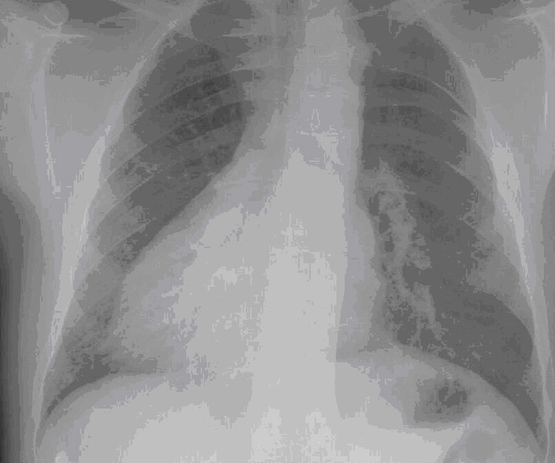
- Situs inversus total o parcial" (los órganos torácicos y/o abdominales situados en el lado opuesto al normal). Es una anomalía anatómica rara, que a menudo se asocia con múltiples malformaciones complejas. No existen datos concluyentes, pero parece que los trastornos que subyacen en la malposición de los órganos con respecto al eje izquierda - derecha en el embrión, están relacionados con las alteraciones ciliares.

- Bronquiectasias, dilataciones de los bronquios que suelen ser consecuencia de infecciones bronquiales de repetición, el acaloramiento mucociliar actúa como un mecanismo defensivo frente a las infecciones, cuando este sistema de defensa se altera se producen infecciones bronquiales de repetición y bronquiectasias.

- Sinusitis o inflamación de uno o más senos paranasales.

También es frecuente que presenten esterilidad debido a la poca movilidad o inmovilidad de los espermatozoides, rinitis (inflamación de la mucosa nasal) crónica, trastornos olfatorios de grado variable (pueden incluso presentar pérdida completa del olfato), afectación cardiaca, otitis media (inflamación del oído medio), sordera, ausencia de bazo, malformaciones renales y de los vasos de la retina, alteraciones de la cornea, dolor de cabeza de origen sinusal, transposición de órganos y en algunas ocasiones se asocia con otras enfermedades como artritis reumatoide.

El diagnóstico se suele realizar en la infancia, pocos casos se diagnostican en la edad adulta. El diagnóstico es fácil cuando se presenta la triada típica, pero en la mitad de los casos no hay situs inversus y sólo un alto índice de sospecha permitiría su diagnóstico. Para confirmar el diagnóstico de síndrome de Kartagener, es preciso realizar una biopsia de la mucosa nasal, dónde se ponen de manifiesto las alteraciones existentes en los cilios. El examen con el microscopio electrónico permite comprobar las lesiones de esta mucosa, tanto a nivel funcional como estructural.

Cuando la afectación es focal y el diagnóstico precoz los pacientes se benefician del tratamiento quirúrgico. Es fundamental realizar un tratamiento precoz y adecuado de las infecciones respiratorias para evitar que aparezcan lesiones irreversibles en el pulmón. La progresión de la enfermedad depende del daño pulmonar existente.

Especialidad médica que la trata

  • Neumología
  • Medicina Interna
  • Pediatría
  • Cirugia Cardiovascular

 

Asociaciones nacionales e internacionales relacionadas con la enfermedad:


Asociación Española para el Registro y Estudio de las Malformaciones Congénitas. (ASEREMAC)

Domicilio: C/ Facultad de Medicina. Universidad Complutense

Localidad: 28040 Madrid

Provincia: Madrid

Teléfono: 913941587, 913941591

FAX: 913941592

 

Fundación 1000 para la Investigación de los Defectos Congénitos

Domicilio: C/ Serrano, 140

Localidad: 28006 Madrid

Provincia: Madrid

Teléfono: 913941587

FAX: 913941592

WEB: http://www.fundacion1000.es/

 

Federación Española de Asociaciones de Enfermedades Raras (FEDER)

Domicilio: c/ Enrique Marco Dorta, 6 local

Localidad: 41018 Sevilla

Teléfono: 954 98 98 92

FAX: 954 98 98 93

Correo-e: f.e.d.e.r@teleline.es

Línea de Atención: 902 18 17 25 / info@minoritarias.org

 

European Organization for Rare Disorders (EURORDIS)

Domicilio: Plateforme Maladies Rares 102, Rue Didot

Localidad: 75014 Paris

Teléfono: 00 33 1 56 53 53 40

FAX: 00 33 1 56 53 52 15

Correo-e: eurordis@eurordis.org

WEB: http://www.eurordis.org

También te recomendamos:
Compártelo:
Email o nick Contraseña Cerrar ×
Conectar
Olvidé mi contraseña